Bohren muss nicht sein
Bohren muss nicht sein
 

Sinnvolle und vor Allem schmerzfreie Alternativen zum Bohren und zum Bohrer sind heute gefragter denn je.

Es stehen uns heute einige Möglichkeiten zur Verfügung, erkrankte Zähne zu heilen, anstatt sie mit dem Bohrer noch mehr zu verstümmeln, als es die Karies bis jetzt schon geschafft hat.

 

Die Grundüberlegung ist hierbei folgende:

 

Seit Jahrhunderten ist es üblich, aus erkrankten Zähnen die durch Karies zerstörte Zahnhartsubstanz zu entfernen und das entstandene Loch mit mehr oder weniger gut geeigneten Materialien zu füllen.

 

Das Problem hierbei:

 

Regelmäßig muss der Zahnarzt neben der erkrankten Substanz zwangsläufig auch gesunde Substanz unwiederbringlich mitentfernen, um an die kranke Stelle zu kommen. Oft sind die Zahnschäden, z.B. im Zahnzwischenraum, unter einer noch intakten Schmelzschicht zu finden. Und eben diese intakte Schmelzschicht wird durch das Ausbohren zwangsläufig zerstört.

Das selbe Problem haben wir auch bei vermeintlich nur harmlosen Verfärbungen der Zahngruben in den Kauflächen, der sogenannten "Fissuren". Hier ein Beispiel aus unserer Praxis:

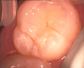
Karies, Zahnarzt, Sacha Karmoll Dieser Zahn hat schon eine Karies, zum Glück noch in einem frühen Stadium.

Solche Zähne finden wir häufig bei jugendlichen Patienten vor. Die Schwierigkeit hierbei ist, die richtige Diagnose zu treffen.

 

Aus meiner Praxiserfahrung mit Neupatienten weiß ich, dass die Vorbehandler, von denen diese Patienten dann zu uns wechselten, solche Zähne entweder gar nicht weiter beachten oder nur insoweit, als dass sie diesen Zahn "weiter beobachten" und/oder "abwarten" wollen.

 

An dieser Stelle sei dann aber die Frage erlaubt: Was wollen wir denn hier "beobachten" oder "abwarten"? Ich komme gleich wieder auf diese Frage zurück. Schauen wir uns doch erst einmal einen solchen Zahn, so wie er sich auf dem oberen Bild darstellt, im Schliffbild unter einem Mikroskop an:

Zahnbein, Karies, Schnittfläche Bereits in das Zahnbein (Dentin) eingedrungene Karies.

Erklärung dieses Bildes:

 

Stellen Sie sich bitte den weiter oben fotografierten Zahn in der Mitte von oben bis unten aufgeschnitten vor. Wir betrachten jetzt also die Schnittflächen der Hälften von der Seite, und nicht mehr von oben.

 

Links und rechts sehen Sie die Gipfel der Zahnkaufläche, die "Höcker", in der Mitte das Tal, die "Fissur". Das Hellgrüne ist der Schmelz, das Dunkelgrüne ist das Zahnbein, das Dentin.

 

Fällt Ihnen etwas auf?

 

Die braunen Striche oder Linien auf dem Zahnfoto ganz oben sind die verfärbten Täler des Zahnes, also seine Fissuren.

 

Der braune Fleck in der Mitte des Schliffbildes befindet sich ganz genau in diesem Tal, in der Fissur, und ist nichts anderes als Karies.

Was also in natura "ganz harmlos" auszusehen scheint, entpuppt sich sehr häufig als Karies, und zwar schon in die Tiefe eingedrungene.

 

Das Heimtückische dabei: In der Tiefe ist die Karies wesentlich breiter, als es der ganz schmale Schmelzspalt - die "harmlose braune Linie" - verrät.

 

Daher noch einmal die Frage: Was gibt es hier zu "beobachten" oder "abzuwarten"? Hier ist konsequentes Handeln erforderlich, damit der Zahn nicht kurze Zeit später die erste Füllung braucht!

Bookmark and Share

Dann müsste man doch aber jetzt bohren, oder etwa nicht?

Sagen wir einmal so: Das hängt jetzt ganz davon ab, in welcher Praxis Sie bislang betreut werden. Es gibt verschiedene Behandlungsvarianten:

 

Variante A: "Abwarten und beobachten".

 

Das haben wir schon besprochen, das ist keine Lösung.

 

Variante B: "Einfach diese Fissur versiegeln".

 

Es gibt allen Ernstes "Spezialisten", welche so einen Befund mit Versiegelungsmaterial einfach "zukleistern", aber ohne vorher irgendwelche Maßnahmen zur Sterilisation der Zahnoberfläche getroffen zu haben. Nachdem Sie ja nunmehr das grüne Schliffbild gesehen haben, wissen Sie nun: Das ist erst recht keine Lösung, sondern ein "Deckel auf die Güllegrube". Die Karies frisst sich künftig unkontrollierbar Richtung Zahnnerv durch und zerstört noch viel mehr Dentin. Und irgendwann hat sie dann den Nerv erreicht...

Variante C:  Bohren und Füllen.

 

Zugegebenermaßen zwar besser als Variante A und B, jedoch eben das klassische "Amputieren" und "Verstümmeln" eines Zahnes, denn:

 

Um den braunen Fleck auf dem Schliffbild vollständig zu entfernen, muss sich der Zahnarzt mit dem Bohrer den Zugang dorthin erst einmal verschaffen. Das bedeutet, dass er viel hellgrünen, gesunden Zahnschmelz unwiederbringlich zerstören muss. In obigem Schliffbild würde das dann etwa so aussehen:

Das ist die ungefähre Ausdehnung des Loches, oder besser gesagt: der zu präparierenden Kavität, welche wir brauchen, um die Karies restlos zu entfernen und genügend Haltefläche für die danach zu legende Füllung zu gewinnen. Sehen Sie, wieviel gesunde Zahnhartsubstanz hier geopfert werden muss?

 

 

 

 

Und so sähe dieser Zahn dann z.B. mit Amalgam gefüllt aus. Dies wäre die sogenannte "Vertragsleistung", also das, was die Gesetzlichen Krankenkassen bezahlen.

So, und nun wollen wir uns das einmal plastisch anhand des oben fotografierten Beispielzahnes anschauen:

 

 

 

Dies ist die Ausgangssituation: ganz schmaler Zugang zur Karies, die unter dem Schmelz in der Tiefe sich bereits breitflächig ausbreitet.

 

So sähe der Zahn dann mit z.B. zwei Amalgamfüllungen aus. Sie sehen also: Um das scheinbar "Bisschen" Fissurenkaries wegzubohren, muss viel gesunder Zahnschmelz "daran glauben". Die silberschwarzen Amalgamfüllungen nehmen schon ganz schön viel Platz ein.

Dies wäre die Mindestausdehnung des Loches, welches entstünde, würde man den Zahn für eine konventionelle Füllung ausbohren. Selbst wenn der Zahnarzt einen kleinen Bohrer benutzt: Das ausgebohrte Areal hat schätzungsweise eine achtmal größere Fläche - vom Volumen einmal ganz zu schweigen! - als das eigentlich erkrankte Schmelzgebiet. Damit eine Füllung hält, muss sie auch eine gewisse Haltefläche bekommen.

 

 

 

Und so haben wir diesen Zahn dann tatsächlich behandelt: Die kariösen Stellen erweiterten wir erst ganz minimal, sterilisierten die jetzt besser zugängliche Dentinkaries mit Ozon und versiegelten danach die sterile Oberfläche. Der Substanzverlust ist in diesem Fall vernachlässigbar gering und der Zahn auf Jahre hinaus vor erneuter Karies geschützt. Diese Behandlung stellt jetzt also dar...

Variante D: Sterilisation kariös befallener Flächen mit Ozon und anschließende Fissurenversiegelung

Das dazu passende Schliffbild möchte ich Ihnen nicht vorenthalten:

So sieht der Zahn schematisch nach der Ozonsterilisation mit Fissurenversiegelung aus. In diesem speziellen Fall mussten wir eine sogenannte "erweiterte Fissurenversiegelung" vornehmen, also den Zugang zur Karies in der Fissur etwas erweitern.

 

Da wir mit Ozon die kariesproduzierenden Keime praktisch völlig abtöten, können wir es uns erlauben, eben nicht die gesamte erkrankte Zahnhartsubstanz auszubohren und die erweiterte Fissur zu versiegeln. Kariesnahrung in Form von Zahnbelag (Plaque) und Zucker kommen nicht mehr an das erkrankte Dentin heran.

 

Ohne die Bakterien und ohne das für Karies notwendige "Futter" kann dieses Loch nicht mehr weiter wachsen. Es reicht ab jetzt aus, regelmäßig die Dichtigkeit der Fissurenversiegelung zu kontrollieren und diese ggf. von Zeit zu Zeit zu reparieren.

Bookmark and Share

 

 

 

 

 

 

 

 

Sie möchten gerne eine Zahnarztbehandlung ohne Bohren? Dann empfehlen wir Ihnen eine Zahnzusatzversicherung:

 

 

WaizmannTabelle - Die leistungsstärksten Zahnzusatzversicherungen vergleichen (hier klicken)

Besuchen Sie unseren Zahnpflegeshop

Termin vereinbaren

Telefon:

07441 - 7395

 

E-Mail

karmoll@zahn-fds.de

 

Anschrift

Sacha Karmoll, Zahnarzt

Loßburger Str. 21

72250 Freudenstadt

 

Nutzen Sie gerne auch unser Kontaktformular.

 

Unsere Praxis ist geöffnet:

 

Montag

nach individueller Vereinbarung

 

Dienstag

11:00-15:00 und 16:00-19:30

 

Mittwoch

11:00-15:00 und 16:00-19:30

 

Donnerstag

10:00-14:00 und 15:30-18:30

 

Freitag

10:00-14:00 und 15:30-18:30

 

Bitte beachten Sie außerhalb der Sprechzeiten den Notdienstplan.

 

Bookmark and Share

Wir stellen ein:

Druckversion | Sitemap
© zahnarztpraxis-freudenstadt.de